Preparation of High Purity and High Specific Surface Area Mn3O4 from Primary Manganese Ores
- 
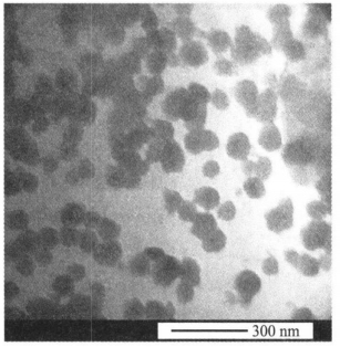
					    摘要: 软锰矿经中性浸出, 通过除杂净化, 制备出高纯硫酸锰溶液; 碱化沉淀, 采用微波加热进行控制氧化合成四氧化三锰, 确定了该方法的最佳工艺参数.分别用扫描电镜、透射电镜、X射线衍射仪和全自动氮吸附比表面仪对样品进行了检测, 结果表明: 该方法成功制备了高纯四氧化三锰, 比表面积高达28.27 m2/g.Abstract: Immerse primary Mn ores in neutral solution, purify chemically, and manganese sulphate with high purity are obtained. Making use of the selective heating property of microwave, Mn3O4 powder can be prepared controllably. The best technology conditions were established through experiments. The samples are characterized by SEM, TEM, XRD and BET. The results show that using this method, high quality Mn3O4 can be prepared successfully from primary Mn ores with a high specific surface area of 28.27 m2/g.- 
									Key words:
									
- primary manganese ores /
- neutral leaching /
- microwave heating /
- manganic manganous oxide
 
- 
						
    
    
    
    表 1 软锰矿石主要成分 Table 1. Chemical compositions of manganese ore concentrates   表 2 Mn3O4产品化学成分 Table 2. Chemical compositions of Mn3O4 powder   
- 
						Boucher, B., Buhl, R., Perrin, M., 1971. Magnetic structure of Mn3O4 by neutron diffraction. Journal of Applied Physics, 42 (4): 1615-1617. doi: 10.1063/1.1660364 Chen, F. Y., Mei, G. G., Tan, Z. Z., 2003. Study on producing mangano-manganic oxide from manganous sulphate solution. China's Manganese Industry, 21 (3): 14-16 (in Chinese with English abstract). Chen, J., Liu, L., Zeng, J. Q., et al., 2004. Experimental research of microwave heating on iron ore concentrates containing coal and lime. Iron Steel, 39 (6): 1-5 (in Chinese with English abstract). Jin, Q. H., 1999. Microwave chemistry. Science Press, Beijing (in Chinese). Kim, S. H., Kim, S. J., Oh, S. M., 1999. Preparation of lay-ered MnO2 via thermal decomposition of KMnO4 and its electrochemical characterizations. Chemistry Materials, 11 (3): 557-563. doi: 10.1021/cm9801643 Tan, Z. Z., 2004. Manganese metallurgy. Central South University Press, Changsha (in Chinese). Yin, G., Zeng, W. Y., Ning, Y., 2004. New method for preparing low Se manganic manganous oxide (Mn3O4) — Astudy. Mining and Metallurgical Engineering, 24 (2): 59-61 (in Chinese with English abstract). Zeng, K. X., Zhang, W., 2005. The current problem and countermeasure of the constant development of Mn3O4 in China. China's Manganese Industry, 23 (2): 7-10 (in Chinese with English abstract). 陈飞宇, 梅光贵, 谭柱中, 2003. 硫酸锰溶液制备电子级四氧化三锰的研究. 中国锰业, 21 (3): 14-16. https://www.cnki.com.cn/Article/CJFDTOTAL-ZGMM200303004.htm 陈津, 刘浏, 曾加庆, 等, 2004. 微波加热还原含碳铁矿粉试验研究. 钢铁, 39 (6): 1-5. https://www.cnki.com.cn/Article/CJFDTOTAL-GANT200406000.htm 金钦汉, 1999. 微波化学. 北京: 科学出版社. 谭柱中, 2004. 锰冶金学. 湖南: 中南大学出版社. 银瑰, 曾维勇, 宁杨, 2004. 低硒四氧化三锰制备新方法研究. 矿冶工程, 24 (2): 59-61. https://www.cnki.com.cn/Article/CJFDTOTAL-KYGC200402017.htm 曾克新, 张武, 2005. 中国四氧化三锰工业可持续发展面临的问题与对策. 中国锰业, 23 (2): 7-10. doi: 10.3969/j.issn.1002-4336.2005.02.003 
- 
						
						  
 
		             
		        



 
  
					 
							 
							 下载:
下载: 
				 
							 
							 
							 
							 
							 
 